CT-gesteuerte Schmerztherapie
Bei der CT-gesteuerten Schmerztherapie handelt es sich um ein besonders präzises Verfahren. So werden per computertomographischer Planung in Bauchlage des Patienten feine Nadeln millimetergenau an die schmerzenden Strukturen wie Wirbelgelenke oder Nervenwurzeln sowie ggf. auch an einen Bandscheibenvorfall herangeführt. Nach Kontrolle der Nadellage werden z.B. die Wirbelgelenke infiltriert oder aber eine Nervenwurzel mit betäubenden und entzündungshemmenden Medikamenten umspritzt.
Selbstverständlich erfolgt vor jeglicher Therapie eine präzise Analyse des Schmerzes durch die genaue Befragung des Patienten zu seinem Schmerzbild gefolgt von einer klinisch-neurologischen Untersuchung durch den behandelnden Neurochirurgen in der Praxis. Anschließend werden diese Befunde mit den Ergebnissen einer kernspintomographischen oder computertomographischen Untersuchung (MRT oder CT) verglichen. Konventionelle Röntgenuntersuchungen haben hier nur eine sehr begrenzte Aussagekraft.
Klassische Zielpunkte der CT-Therapie sind vor allem:
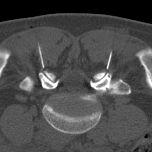
Die Behandlung wird grundsätzlich in örtlicher Betäubung mit sehr feinen Nadeln vorgenommen. Der Patient liegt auf dem Bauch auf dem CT-Tisch. Zur genauen Höhenlokalisation der Schmerzstelle wird auf den Rücken ein Metallstreifen geklebt. Ein so genanntes Topogramm, also eine Übersichtsaufnahme des entsprechenden Wirbelsäulenabschnittes wird angefertigt. Jetzt kann auf dem computertomographischen Schnittbild die Schmerzstelle lokalisiert werden. Auf dem Bearbeitungsmonitor können dann der exakte Eintrittspunkt der Nadel, der Winkel und die Tiefe, in der gespritzt werden soll, ermittelt werden. All diese Parameter werden anschließend mit einem Laserpunkt auf dem Patienten dargestellt. Gefolgt von einer örtlichen Punktion nach steriler Säuberung der Haut kann die feine Punktionsnadel, die eine millimetergenaue Skalierung aufweist, am Schmerzpunkt platziert werden. Es folgt die Kontrollaufnahme zur Dokumentation der exakten Nadellage.
An die Wirbelgelenke wird ein langwirksames Betäubungsmittel gespritzt. Zur Optimierung der Wirkung und Verträglichkeit setzen wir als entzündungshemmende Präparate zusätzlich Retard-Corticosteroide ein, die verzögert über längere Zeit am Wirkort freigesetzt werden. Bei gutem mehrmaligem Ansprechen auf solche Facettenspritzen kommt gelegentlich auch hochdosierter Alkohol als Verödungsmittel zum Einsatz. An Nervenwurzeln wird fast ausschließlich ein eiweißgelöstes Depot-Corticosteroid gespritzt. Sinn dieses Medikamentes ist, die Entzündungsreaktion im Nerv abzudämpfen und die Schwellung aufzuheben, so dass bei Entspannung der Nervenwurzel der Schmerz verschwindet oder sich abschwächt.
Üblicherweise werden je nach Befund und Schmerzintensität zunächst zwei bis drei Therapiesitzungen geplant, dann sollte eine wesentliche Beschwerdebesserung zu verzeichnen sein. Andernfalls muss die Strategie vom behandelnden Arzt neu überprüft werden.
Ernsthafte Komplikationen wie Infektionen, Vereiterungen oder gar Hirnhautentzündungen sind extrem selten; in den jetzt schon mehr als 20 Jahren praktischer Erfahrung in unserer Praxis wurde kein Fall beobachtet. Leichtere Nebenwirkungen wie Nackendruck oder Kopfschmerz bei Punktion der Nervenhaut oder Begleiterscheinungen durch die verabreichten Medikamente treten gelegentlich auf. Zur umfassenden Information über mögliche Nebenwirkungen erhält jeder Patient vor der ersten Behandlung ein standardisiertes Aufklärungsblatt, damit er gegebenenfalls auftretende Symptome schon einschätzen kann. Eine Kontaktaufnahme mit dem behandelnden Arzt ist natürlich jederzeit möglich.
Eine gewisse Strahlenbelastung ist bei Anwendung der Computertomographie nicht zu vermeiden. Im Gegensatz zu einem diagnostischen CT müssen jedoch wesentlich weniger Bildschichten gemacht werden, so dass die Strahlenmenge auf einen Bruchteil zu reduzieren ist. Hier spielen die Erfahrung des Behandlers und der geplante Umfang der Maßnahme eine wichtige Rolle. Im Gegensatz zur konventionellen Röntgendurchleuchtung wird die Strahlendosis zudem exakt dokumentiert.
In den vergangenen Jahren haben wir unseren Behandlungsraum modernisiert und den neuesten Standards angepasst. Zudem haben wir 2022 den bisherigen Computertomographen durch ein Gerät der neuesten Generation („Care-dose-CT = extrem strahlensparend“) ersetzt. Alle erfolgten Behandlungen werden elektronisch gespeichert und sind so bei Bedarf abruf- und auswertbar.
Im Bereich der gesetzlichen Krankenkassen wird die CT-gesteuerte Schmerztherapie Großteils im Rahmen der Integrationsversorgung durchgeführt. Je nach Vertrag mit der jeweiligen Kasse können auch Physiotherapie und ggf. erforderliche diagnostische radiologische Zusatzuntersuchungen einschließlich CT/MRT (Kooperationspartner ist das Radiologische Zentrum Offenbach/Dietzenbach) eingeschlossen sein. Leider übernehmen einzelne gesetzliche Krankenkassen die Kosten einer CT-Therapie nicht. In diesem Fall müssen die Kosten der Behandlung vom Patienten selbst getragen werden (IGeL-Leistung). Zusätzlich kann für die begleitende Physiotherapie die bekannte Selbstbeteiligung pro Therapiesitzung anfallen.
Behandlungsbeispiele
Alle oben dargestellten Aufnahmen respektive Therapien wurden im Bereich der Lendenwirbelsäule bzw. am Kreuzbein vorgenommen. In gleicher Art und Weise führen wir auch im Bereich der Brust- und Halswirbelsäule Infiltrationen durch. Einzige Ausnahme ist, dass hier keine epiduralen Spritzen gesetzt werden, da die Verletzungsgefahr des Rückenmarks in diesem Bereich nicht hoch ist.



